Спайси - чесночная профилактическая добавка
Спайси - чесночная профилактическая добавка

Специально подобранная композиция из разных чесночных компонентов продолжает работать на всем протяжении ЖКТ
Доказанная эффективность на многих предприятиях России по следующим направлениям:
• повышение/продление яйценоскости
• повышение прироста бройлеров
• повышение сохранности птицы

Чесночно профилактическая добавки разработана в партнерстве со специалистами из Германии в 2015 году.
Специально подобранная композиция из разных чесночныхкомпонентов продолжает работать на всем протяженииЖКТ:
• сухой чеснок,
• эфирное масло,
•инкапсулированный чеснок
• Антиоксидантные свойства чеснока проявляются благодаря сульфидным соединениям, выделяемым чесноком, и их фенольному содержанию. Эти соединения ответственны за значительный антиоксидантный потенциал эфирных маселчеснока
• Свободные радикалы являются одним из факторов,которые могут вызвать серьезные повреждения клетокпечени, что приводит к выбросу в кровоток трех ферментов, включая АСТ, АЛТ. Поэтому чесночный порошок уменьшает попадание этих ферментов в кровообращение, защищая клетки печени от свободных радикалов
• Антимикробное действие эфирного масла чеснока также связано с липофильными свойствами и способностью перфорировать бактериальную мембрану и изменять химический состав бактериальной среды (Helander et al.,1998), что высвобождает мембранные компоненты изклеток во внешнюю среду

Фенольные соединения в чеснокедействуют на цитоплазматическуюмембрану эймеррий ивызываютизменения в их катионной проницаемости,что приводит к гибели эймиррии (Tanweeret al.).

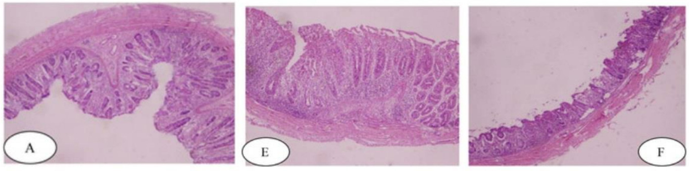
Применение чесночной препаратасущественным образом влияет на высотуворсинок, толщину эпителия, количествобокаловидных клеток, глубину крипт исоотношение глубины крипт к высотеворсинок различных отделов тонкойкишки
Соотношение ворсинок:крипт являетсяпоказателем вероятнойпищеварительной способности тонкойкишки.Увеличение этого соотношениясоответствует усилению перевариванияи всасывания


Повышается эффективность использования питательных веществ: жир на 6,0% сухое вещество на 2,7%
Способствует увеличению средне-суточных привесов и сдаточного веса.
Особенно эффективен в условиях ослабленного поголовья
Окислительный стресс снижает яйценоскость кур-несушек, снижает резерв фолликулов и усиливает апоптоз в клетках яичников. Это обусловлено постепенным накоплением активных форм кислорода (АФК) с течением времени.
Антиоксидантные свойства:
Активные компоненты«Спайси»обладают способностьюудалять свободные радикалы иснижать окислительный стрессвосстанавливая функциональностьяичников
• Повышение массы яйца безпотери продуктивности
• Продлевает период высокойяйценоскости, а низкую яйценоскость повышает до приемлемых значений

